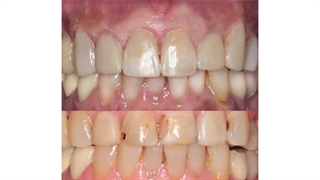
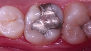
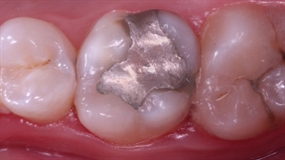
پخش همه ترمیم دندان ۱۲ ویدیو توسط کلینیک دندانپزشکی سیمادنت دنبال کردهاید دنبال کردن ۰۱:۲۲ هزینه درمان پوسیدگی دندان چقدر است؟ | کلینیک سیمادنت کلینیک دندانپزشکی سیمادنت ۰۰:۱۵ لمینت دندان بالا | لمینت بهترین درمان زیبایی برای داشتن لبخندی زیبا | سیمادنت کلینیک دندانپزشکی سیمادنت ۰۰:۱۷ تعویض آمالگام با کامپوزیت کلینیک دندانپزشکی سیمادنت ۰۰:۲۱ ترمیم دندان با پروتز آنله در چه مواقعی استفاده میشود؟ | کلینیک سیمادنت کلینیک دندانپزشکی سیمادنت [ ویدیو حذف شده است ] ۰۰:۱۷ آمالگام یا کامپوزیت! برای پر کردن دندان کدام بهتر است؟ | سیمادنت کلینیک دندانپزشکی سیمادنت [ ویدیو حذف شده است ] ۰۱:۱۶ متخصص لمینت یا دندانپزشک عمومی؟ نظر دکتر داودیان کلینیک دندانپزشکی سیمادنت ۰۰:۵۹ مراحل انجام لمینت (نکات فوق تخصصی) | کلینیک سیمادنت کلینیک دندانپزشکی سیمادنت ۰۰:۱۵ اصلاح طرح لبخند با از بین بردن زردی دندانها با کامپوزیت | سیمادنت کلینیک دندانپزشکی سیمادنت ۰۰:۵۹ متخصص پروتزهای دندانی و دندانپزشک زیبایی | سیمادنت کلینیک دندانپزشکی سیمادنت ۰۰:۳۴ پیوند استخوان برای ایمپلنت | کلینیک سیمادنت کلینیک دندانپزشکی سیمادنت