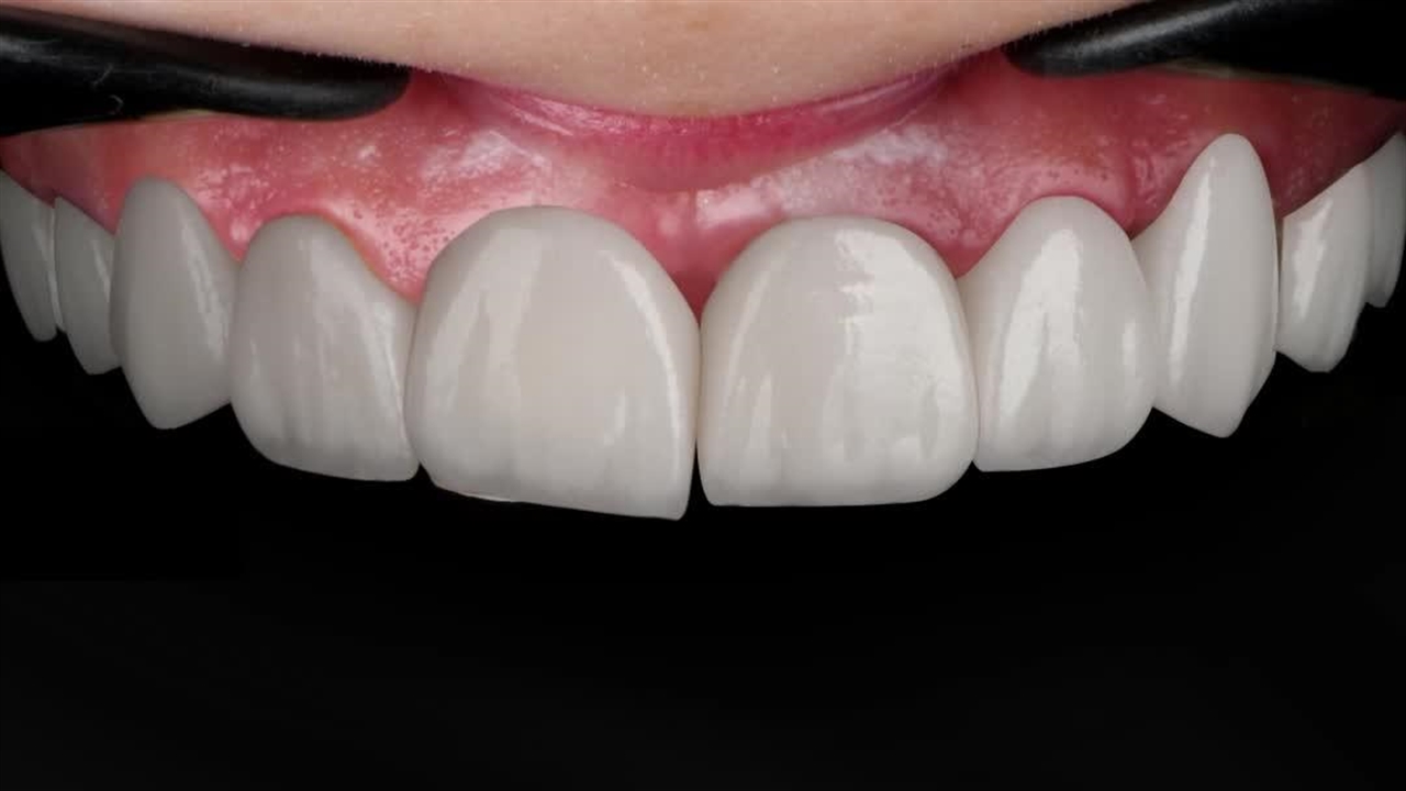
اصلاح خط لبخند
اصلاح خط لبخند به وسیله ترکیبی از لمینت و روکش های سرامیکی
___________
کلینیک دندانپزشکی دکتر مهرزاد زارع
مرودشت،خیابان انقلاب،خیابان دانش شرقی(کوچه حمام حاج عزیز)،تقاطع اول ،مجتمع پزشکی ساعت
.
.
.
شماره تماس:
️07191027078
09056077078
______________
آدرس اینستاگرام دکتر مهرزاد زارع:
https://www.instagram.com/dr.mehrzadzare
برای مطالعه ی مقالات علمی و دریافت نوبت به سایت زیر مراجعه کنید:
https://drmehrzadzare.com/
نظرات