دررفتگی مادرزادی لگن و جراحی تعویض مفصل ران

دکتر مهرداد منصوری-متخصص ارتوپدی-جراح لگن و مفصل ران

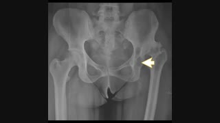
بسیاری از بیمارانی که نیاز به جراحی تعویض مفصل ران پیدا میکنند خانم هایی هستند که مفصل ران آنها به علت دررفتگی مادرزادی لگن خراب شده و دچار درد لگن و لنگش شده اند.
آیا همه دررفتگی های مادرزادی لگن نیاز به جراحی تعویض مفصل دارند. آیا کلا این دررفتکی ها باید عمل شوند. و آیا در صورت جراحی تا چه حد میتوان انتظار داشت تا درد و لنگش یا کوتاهی پای بیمار خوب شود

نظرات

نماد کانال
نظری برای نمایش وجود ندارد.

توضیحات

دررفتگی مادرزادی لگن و جراحی تعویض مفصل ران

۱ لایک
۰ نظر

بسیاری از بیمارانی که نیاز به جراحی تعویض مفصل ران پیدا میکنند خانم هایی هستند که مفصل ران آنها به علت دررفتگی مادرزادی لگن خراب شده و دچار درد لگن و لنگش شده اند.
آیا همه دررفتگی های مادرزادی لگن نیاز به جراحی تعویض مفصل دارند. آیا کلا این دررفتکی ها باید عمل شوند. و آیا در صورت جراحی تا چه حد میتوان انتظار داشت تا درد و لنگش یا کوتاهی پای بیمار خوب شود

آموزش