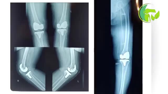
فیلم بدون سانسور قبل و بعد تعویض دوطرفه مفصل زانو

۰ نظر گزارش تخلف
دکتر مجید عابدی
دکتر مجید عابدی

دکتر مجید عابدی متخصص ارتوپدی، فلوشیب فوق تخصصی جراحی زانو با استفاده از روش های تشخیصی و درمانی مجهز به بررسی بیماری ها می پردازد و از بروز عوارض زیاد جلوگیری می کند. شیراز ، خیابان شهید فقیهی (صورتگر) تقاطع معدل ، مجتمع پزشکی تابش ، طبقه دوم ، واحد۴ تلفن: ۰۷۱۳۲۳۱۳۰۲۱ همراه: ۰۹۳۳۲۷۷۸۶۷۰ صفحه اینستاگرام : @dr_majidabedi

نظرات

نماد کانال
نظری برای نمایش وجود ندارد.

توضیحات

فیلم بدون سانسور قبل و بعد تعویض دوطرفه مفصل زانو

۰ لایک
۰ نظر

دکتر مجید عابدی متخصص ارتوپدی، فلوشیب فوق تخصصی جراحی زانو با استفاده از روش های تشخیصی و درمانی مجهز به بررسی بیماری ها می پردازد و از بروز عوارض زیاد جلوگیری می کند. شیراز ، خیابان شهید فقیهی (صورتگر) تقاطع معدل ، مجتمع پزشکی تابش ، طبقه دوم ، واحد۴ تلفن: ۰۷۱۳۲۳۱۳۰۲۱ همراه: ۰۹۳۳۲۷۷۸۶۷۰ صفحه اینستاگرام : @dr_majidabedi