دندان‌پزشکی پیشرفته دکتر رضا شهریاری | لبخندهای زیبا و طبیعی در مشهد

mashhadbest
mashhadbest

✨ آماده‌اید تا لبخندی زیبا و جذاب‌تر از همیشه داشته باشید؟
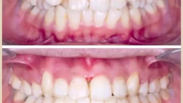
در این ویدیو با کلینیک دندان‌پزشکی پیشرفته دکتر رضا شهریاری، یکی از بهترین دندان‌پزشکان مشهد، آشنا می‌شوید. این کلینیک با بهره‌گیری از فناوری‌های پیشرفته روز دنیا و تجربه‌ای برجسته در درمان‌های دندان‌پزشکی، خدماتی فراتر از انتظارات شما ارائه می‌دهد. ایمپلنت‌های بادوام و زیبا، طراحی لبخند حرفه‌ای متناسب با چهره، و سفید کردن پیشرفته دندان‌ها از جمله خدماتی هستند که تخصص دکتر شهریاری را به نقطه عطفی در دندان‌پزشکی مشهد تبدیل کرده‌اند.

تمامی خدمات با تمرکز بر دقت، کیفیت و نتیجه‌ای بادوام انجام می‌شوند. اگر به دنبال لبخندی درخشان و تجربه‌ای متفاوت از دندان‌پزشکی در محیطی آرام و مدرن هستید، کلینیک دکتر شهریاری انتخابی عالی برای شما خواهد بود.

نظرات

نماد کانال
نظری برای نمایش وجود ندارد.

توضیحات

دندان‌پزشکی پیشرفته دکتر رضا شهریاری | لبخندهای زیبا و طبیعی در مشهد

۰ لایک
۰ نظر

✨ آماده‌اید تا لبخندی زیبا و جذاب‌تر از همیشه داشته باشید؟
در این ویدیو با کلینیک دندان‌پزشکی پیشرفته دکتر رضا شهریاری، یکی از بهترین دندان‌پزشکان مشهد، آشنا می‌شوید. این کلینیک با بهره‌گیری از فناوری‌های پیشرفته روز دنیا و تجربه‌ای برجسته در درمان‌های دندان‌پزشکی، خدماتی فراتر از انتظارات شما ارائه می‌دهد. ایمپلنت‌های بادوام و زیبا، طراحی لبخند حرفه‌ای متناسب با چهره، و سفید کردن پیشرفته دندان‌ها از جمله خدماتی هستند که تخصص دکتر شهریاری را به نقطه عطفی در دندان‌پزشکی مشهد تبدیل کرده‌اند.

تمامی خدمات با تمرکز بر دقت، کیفیت و نتیجه‌ای بادوام انجام می‌شوند. اگر به دنبال لبخندی درخشان و تجربه‌ای متفاوت از دندان‌پزشکی در محیطی آرام و مدرن هستید، کلینیک دکتر شهریاری انتخابی عالی برای شما خواهد بود.