ارتودنسی عقب بودن فک بالا | دکتر مسعود داوودیان

مرکز تخصصی ارتودنسی دکتر داودیان
مرکز تخصصی ارتودنسی دکتر داودیان

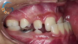
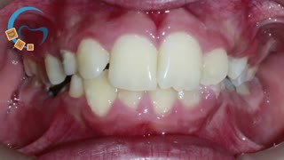
بیماری با مشکل جلو بودن فک پایین و عقب بودن فک بالا و کراس بایت قدامی و عقبی


www.mihanortho.com
www.dr-davoudian.com

نظرات

نماد کانال
نظری برای نمایش وجود ندارد.

توضیحات

ارتودنسی عقب بودن فک بالا | دکتر مسعود داوودیان

۱ لایک
۰ نظر

بیماری با مشکل جلو بودن فک پایین و عقب بودن فک بالا و کراس بایت قدامی و عقبی


www.mihanortho.com
www.dr-davoudian.com

آموزش