ارتودنسی در سن های پایین

دکتر شاهین شادالویی
دکتر شاهین شادالویی

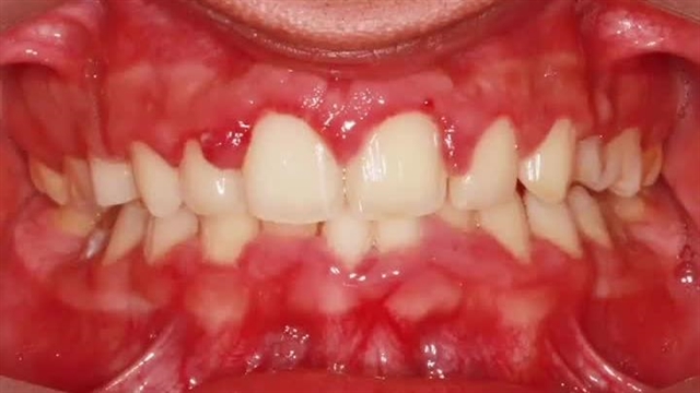
ارتودنسی در سن های پایین نتیجه های خیلی بهتری داره میدونستید مشاوره و ویزیت اولیه هزینه ای براتون نداره؟ حتی حضوری میتونید تشریف بیارید مشاوره بشید. دکتر شاهین شادالویی دکتر ژاله کارامد.

https://drshadaloei.com/preventive-orthodontics/

نظرات

نماد کانال
نظری برای نمایش وجود ندارد.

توضیحات

ارتودنسی در سن های پایین

۰ لایک
۰ نظر

ارتودنسی در سن های پایین نتیجه های خیلی بهتری داره میدونستید مشاوره و ویزیت اولیه هزینه ای براتون نداره؟ حتی حضوری میتونید تشریف بیارید مشاوره بشید. دکتر شاهین شادالویی دکتر ژاله کارامد.

https://drshadaloei.com/preventive-orthodontics/