اصلاح جلو آمدگی فک بالا بدون جراحی

دکتر شاهین شادالویی
دکتر شاهین شادالویی

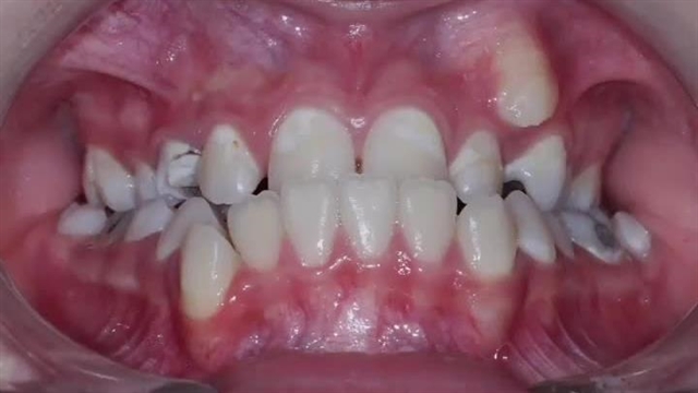
دختر گلمون کیس جراحی و بعد ارتودنسی بودن که با رضایت مراجعه کننده با ارتودنسی و کش های الاستیک این مشکل رو حل کردیم. متخصص ارتودنسی متخصص ناهنجاری های فکی.

https://drshadaloei.com/

نظرات

نماد کانال
نظری برای نمایش وجود ندارد.

توضیحات

اصلاح جلو آمدگی فک بالا بدون جراحی

۰ لایک
۰ نظر

دختر گلمون کیس جراحی و بعد ارتودنسی بودن که با رضایت مراجعه کننده با ارتودنسی و کش های الاستیک این مشکل رو حل کردیم. متخصص ارتودنسی متخصص ناهنجاری های فکی.

https://drshadaloei.com/