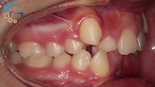
قبل و بعدارتودنسی نیش بیرون زده | دکتر مسعود داوودیان

۰ نظر گزارش تخلف
مرکز تخصصی ارتودنسی دکتر داودیان
مرکز تخصصی ارتودنسی دکتر داودیان

درمان دو فک نامرتبی دندانی و نیش بیرون زده به کمک هدگیر و ارتودنسی ثابت با کشیدن دندان

www.mihanortho.com
www.dr-davoudian.com

نظرات

نماد کانال
نظری برای نمایش وجود ندارد.

توضیحات

قبل و بعدارتودنسی نیش بیرون زده | دکتر مسعود داوودیان

۱ لایک
۰ نظر

درمان دو فک نامرتبی دندانی و نیش بیرون زده به کمک هدگیر و ارتودنسی ثابت با کشیدن دندان

www.mihanortho.com
www.dr-davoudian.com

آموزش