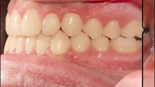
نمونه ارتودنسی دندان | دکتر محمودهاشمی متخصص ارتودنسی

۰ نظر گزارش تخلف
دکتر سیدحامد محمود هاشمی
دکتر سیدحامد محمود هاشمی

دکتر سید حامد محمود هاشمی متخصص ارتودنسی از دانشگاه تهران ودارای بورد تخصصی در این رشته می باشند. جهت انجام مشاوره و دریافت نوبت از دکتر محمودهاشمی می توانید با شماره تلفن 2 الی 0212926230 تماس حاصل فرمائید و جهت مشاهده نمونه کارها به آدرس اینستاگرام https://www.instagram.com/dr.hashemi_ortho/ و سایت www.http://drhashemiortho.com مراجعه فرمائید. آدرس مطب: تهران ، خیابان ظفر شرقی ، جنب بیمارستان کودکان علی اصغر (ع) پلاک 197 طبقه 4 واحد 14

نظرات

نماد کانال
نظری برای نمایش وجود ندارد.

توضیحات

نمونه ارتودنسی دندان | دکتر محمودهاشمی متخصص ارتودنسی

۰ لایک
۰ نظر

دکتر سید حامد محمود هاشمی متخصص ارتودنسی از دانشگاه تهران ودارای بورد تخصصی در این رشته می باشند. جهت انجام مشاوره و دریافت نوبت از دکتر محمودهاشمی می توانید با شماره تلفن 2 الی 0212926230 تماس حاصل فرمائید و جهت مشاهده نمونه کارها به آدرس اینستاگرام https://www.instagram.com/dr.hashemi_ortho/ و سایت www.http://drhashemiortho.com مراجعه فرمائید. آدرس مطب: تهران ، خیابان ظفر شرقی ، جنب بیمارستان کودکان علی اصغر (ع) پلاک 197 طبقه 4 واحد 14