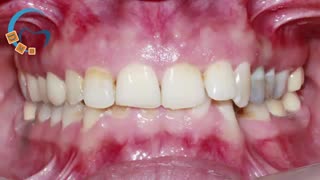
قبل و بعد ارتودنسی دیپ بایت | دکتر مسعود داوودیان

مرکز تخصصی ارتودنسی دکتر داودیان
مرکز تخصصی ارتودنسی دکتر داودیان

قبل و بعدارتودنسی، ارتودنسی دو مرحله ای جهت درمان بیماری با مشکل نامرتبی دندانی شدید و دیپ بایت www.mihanortho.com www.dr-davoudian.com

نظرات

نماد کانال
نظری برای نمایش وجود ندارد.

توضیحات

قبل و بعد ارتودنسی دیپ بایت | دکتر مسعود داوودیان

۱ لایک
۰ نظر

قبل و بعدارتودنسی، ارتودنسی دو مرحله ای جهت درمان بیماری با مشکل نامرتبی دندانی شدید و دیپ بایت www.mihanortho.com www.dr-davoudian.com

آموزش