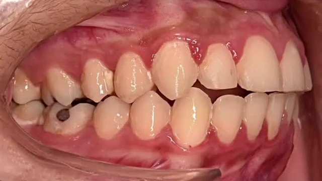
اصلاح نامرتبی شدید دندان ها

دکتر شاهین شادالویی
دکتر شاهین شادالویی

با ارتودنسی بعد از 1-5 سال زیبایی رو به دندان هایتان هدیه دهید.

https://drshadaloei.com/

نظرات

نماد کانال
نظری برای نمایش وجود ندارد.

توضیحات

اصلاح نامرتبی شدید دندان ها

۰ لایک
۰ نظر

با ارتودنسی بعد از 1-5 سال زیبایی رو به دندان هایتان هدیه دهید.

https://drshadaloei.com/