ارتودنسی مجدد | کلینیک دکتر بلادی

۰ نظر گزارش تخلف
drbeladiclinic
drbeladiclinic

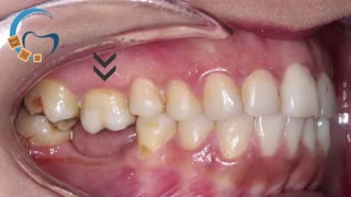
شرح درمان ارتودنسی بیماری که پس از عدم کسب نتیجه مناسب طی ۸ ماه درمان نزد دندانپزشک به کلینیک دندانپزشکی تخصصی دکتر بلادی مراجعه نموده و ادامه درمان ایشان نزد دکتر امیر بلادی (متخصص ارتودنسی) صورت پذیرفته و اکنون مراحل پایانی درمان ارتودنسی ایشان در حال انجام می باشد.
www.dramirbeladi.com

نظرات

نماد کانال
نظری برای نمایش وجود ندارد.

توضیحات

ارتودنسی مجدد | کلینیک دکتر بلادی

۰ لایک
۰ نظر

شرح درمان ارتودنسی بیماری که پس از عدم کسب نتیجه مناسب طی ۸ ماه درمان نزد دندانپزشک به کلینیک دندانپزشکی تخصصی دکتر بلادی مراجعه نموده و ادامه درمان ایشان نزد دکتر امیر بلادی (متخصص ارتودنسی) صورت پذیرفته و اکنون مراحل پایانی درمان ارتودنسی ایشان در حال انجام می باشد.
www.dramirbeladi.com

آموزش