شکستن ریتینر ارتودنسی | دکتر مسعود داودیان

مرکز تخصصی ارتودنسی دکتر داودیان
مرکز تخصصی ارتودنسی دکتر داودیان

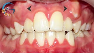
عدم مراجعه منظم بعد از اتمام درمان ارتودنسی می‌تواند با مشکلاتی مانند شکستن ریتینر و به هم ریختگی مجدد دندان‌ها همراه باشد.

www.mihanortho.com
www.dr-davoudian.com

نظرات

نماد کانال
نظری برای نمایش وجود ندارد.

توضیحات

شکستن ریتینر ارتودنسی | دکتر مسعود داودیان

۰ لایک
۰ نظر

عدم مراجعه منظم بعد از اتمام درمان ارتودنسی می‌تواند با مشکلاتی مانند شکستن ریتینر و به هم ریختگی مجدد دندان‌ها همراه باشد.

www.mihanortho.com
www.dr-davoudian.com

آموزش