ارتودنسی نیش نهفته و دندان غایب | دکتر داودیان

مرکز تخصصی ارتودنسی دکتر داودیان
مرکز تخصصی ارتودنسی دکتر داودیان

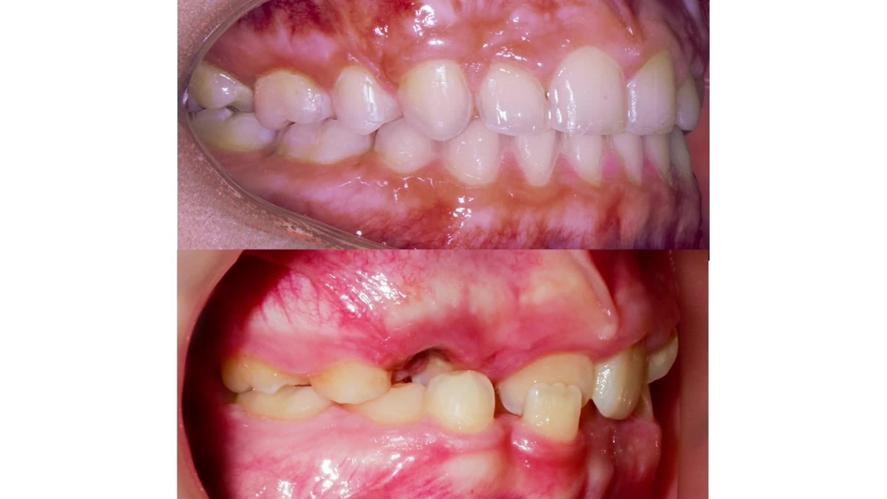
نهفتگی دندان نیش یکی از مشکلات شایع دندانی است؛ به این معنی که دندان نیش در خارج از قوس دندانی و در داخل لثه نهفته باقی می‌ماند. ارتودنسی یکی از بهترین درمان‌های عارضه دندان نیش نهفته است. در این ویدیو، علاوه بر اینکه با ارتودنسی، دندان نیش نهفته به درستی به قوس دندانی هدایت شد، فضای دو دندان غایب 5 پایین نیز به خوبی بسته شد. به این ترتیب با یک طرح درمان ارتودنسی صحیح در طی 5 سال توسط دکتر داودیان متخصص ارتودنسی، مشکلات دندانی بیمار از قبیل نامرتبی شدید دندانی، دندان نیش نهفته، فضای خالی دو دندان غایب برطرف شده و نیاز به دو واحد ایمپلنت نیز از بین رفته است.

راه‌های ارتباط با دکتر داودیان:
مطب شریعتی : ۲۶۷۱۰۷۶۰
مطب ستارخان : ۶۶۵۲۰۹۸۰
شماره موبایل مطب: 09371357373
مشاوره رایگان در واتس آپ :
https://wa.link/simadent

نظرات

نماد کانال
نظری برای نمایش وجود ندارد.

توضیحات

ارتودنسی نیش نهفته و دندان غایب | دکتر داودیان

۰ لایک
۰ نظر

نهفتگی دندان نیش یکی از مشکلات شایع دندانی است؛ به این معنی که دندان نیش در خارج از قوس دندانی و در داخل لثه نهفته باقی می‌ماند. ارتودنسی یکی از بهترین درمان‌های عارضه دندان نیش نهفته است. در این ویدیو، علاوه بر اینکه با ارتودنسی، دندان نیش نهفته به درستی به قوس دندانی هدایت شد، فضای دو دندان غایب 5 پایین نیز به خوبی بسته شد. به این ترتیب با یک طرح درمان ارتودنسی صحیح در طی 5 سال توسط دکتر داودیان متخصص ارتودنسی، مشکلات دندانی بیمار از قبیل نامرتبی شدید دندانی، دندان نیش نهفته، فضای خالی دو دندان غایب برطرف شده و نیاز به دو واحد ایمپلنت نیز از بین رفته است.

راه‌های ارتباط با دکتر داودیان:
مطب شریعتی : ۲۶۷۱۰۷۶۰
مطب ستارخان : ۶۶۵۲۰۹۸۰
شماره موبایل مطب: 09371357373
مشاوره رایگان در واتس آپ :
https://wa.link/simadent