ارتودنسی بدون جراحی فک با نتیجه عالی

دکترگوگانی - متخصص ارتودنسی
دکترگوگانی - متخصص ارتودنسی

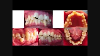
ارتودنسی بدون جراحی فک زمانی نتیجه قابل قبول خواهد داشت که توسط یک ارتودنتیست ماهر انجام شود.
مقاله را در
drgogani.com
مطالعه کنید و یک نمونه عالی را همینجا ببینید!

نظرات

نماد کانال
نظری برای نمایش وجود ندارد.

توضیحات

ارتودنسی بدون جراحی فک با نتیجه عالی

۰ لایک
۰ نظر

ارتودنسی بدون جراحی فک زمانی نتیجه قابل قبول خواهد داشت که توسط یک ارتودنتیست ماهر انجام شود.
مقاله را در
drgogani.com
مطالعه کنید و یک نمونه عالی را همینجا ببینید!