ارتودنسی ثابت و متحرک | دکتر مسعود داوودیان

۰ نظر گزارش تخلف
مرکز تخصصی ارتودنسی دکتر داودیان
مرکز تخصصی ارتودنسی دکتر داودیان

قبل و بعد ارتودنسی
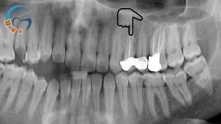
ارتودنسی ثابت و متحرک نامرتبی دندانی و دیپ بایت شدید بدون کشیدن دندان
www.dr-davoudian.com , www.mihanortho.com

نظرات

نماد کانال
نظری برای نمایش وجود ندارد.

توضیحات

ارتودنسی ثابت و متحرک | دکتر مسعود داوودیان

۱ لایک
۰ نظر

قبل و بعد ارتودنسی
ارتودنسی ثابت و متحرک نامرتبی دندانی و دیپ بایت شدید بدون کشیدن دندان
www.dr-davoudian.com , www.mihanortho.com

آموزش