کشیدن دندان در ارتودنسی | دکتر مسعود داوودیان

۰ نظر
گزارش تخلف
مرکز تخصصی ارتودنسی دکتر داودیان
مرکز تخصصی ارتودنسی دکتر داودیان

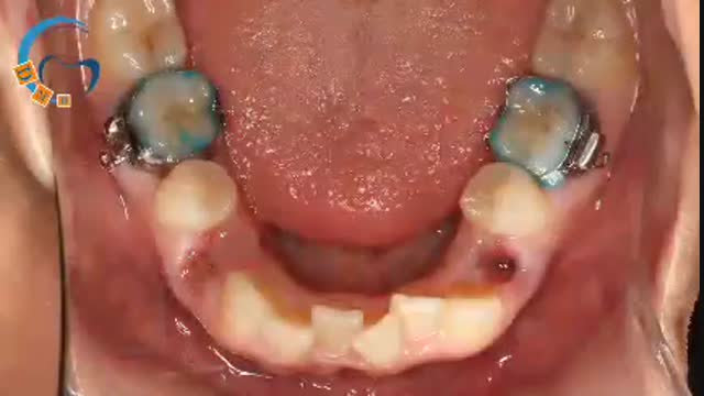
کشیدن دندان گاها برای بیماران ارتودنسی و با هدف مرتب کردن دندان ها اجتناب ناپذیر می‌باشد. با این حال لازم است مطلع باشید که جای هیچ گونه نگرانی بابت فضای خالی دندان‌های کشیده شده نمی‌باشد، چراکه این فضا برای مرتب سازی دیگر دندان‌ها مورد استفاده قرار خواهد گرفت و تا پایان درمان این فضا کاملا بسته خواهد شد.
www.mihanortho.com
www.dr-davoudian.com

نظرات

نماد کانال
نظری برای نمایش وجود ندارد.

توضیحات

کشیدن دندان در ارتودنسی | دکتر مسعود داوودیان

۰ لایک
۰ نظر

کشیدن دندان گاها برای بیماران ارتودنسی و با هدف مرتب کردن دندان ها اجتناب ناپذیر می‌باشد. با این حال لازم است مطلع باشید که جای هیچ گونه نگرانی بابت فضای خالی دندان‌های کشیده شده نمی‌باشد، چراکه این فضا برای مرتب سازی دیگر دندان‌ها مورد استفاده قرار خواهد گرفت و تا پایان درمان این فضا کاملا بسته خواهد شد.
www.mihanortho.com
www.dr-davoudian.com

آموزش