ارتودنسی نیش نهفته | دکتر داودیان

مرکز تخصصی ارتودنسی دکتر داودیان
مرکز تخصصی ارتودنسی دکتر داودیان

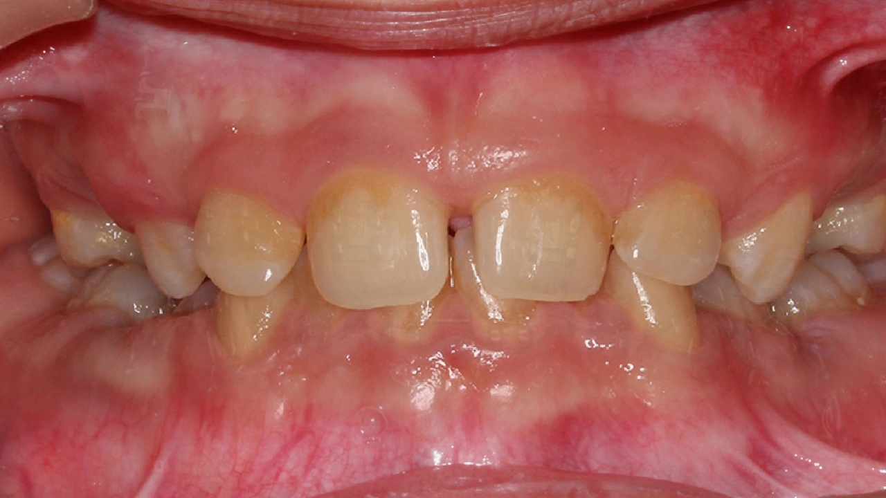
درمان شیدای عزیز از اون مواردیه که هرگز از یاد دکتر نمی‌رود. درمانی طاقت فرسا در حدود ۵ سال که طی آن ضمن رفع نامرتبی شدید دندان‌های بالا و پایین، نیش‌های نهفته بالا هدایت شدند و البته فضای دندان‌های غایب ۵ پایین با ارتودنسی بسته شد و از دو واحد ایمپلنت بیمار بی نیاز شد.

راه‌های ارتباط با دکتر داودیان:
مطب شریعتی : ۲۶۷۱۰۷۶۰
مطب ستارخان : ۶۶۵۲۰۹۸۰
شماره موبایل مطب: 09371357373
مشاوره رایگان در واتس آپ :
https://wa.link/simadent

نظرات

نماد کانال
نظری برای نمایش وجود ندارد.

توضیحات

ارتودنسی نیش نهفته | دکتر داودیان

۰ لایک
۰ نظر

درمان شیدای عزیز از اون مواردیه که هرگز از یاد دکتر نمی‌رود. درمانی طاقت فرسا در حدود ۵ سال که طی آن ضمن رفع نامرتبی شدید دندان‌های بالا و پایین، نیش‌های نهفته بالا هدایت شدند و البته فضای دندان‌های غایب ۵ پایین با ارتودنسی بسته شد و از دو واحد ایمپلنت بیمار بی نیاز شد.

راه‌های ارتباط با دکتر داودیان:
مطب شریعتی : ۲۶۷۱۰۷۶۰
مطب ستارخان : ۶۶۵۲۰۹۸۰
شماره موبایل مطب: 09371357373
مشاوره رایگان در واتس آپ :
https://wa.link/simadent