ارتوسرجری عقب بودن فک پایین | دکتر داودیان

متخصص ارتودنسی

۱۶۴ ویدیو

ارتودنسی و ایمپلنت | دکتر داودیان

۰ نظر گزارش تخلف
مرکز تخصصی ارتودنسی دکتر داودیان
مرکز تخصصی ارتودنسی دکتر داودیان

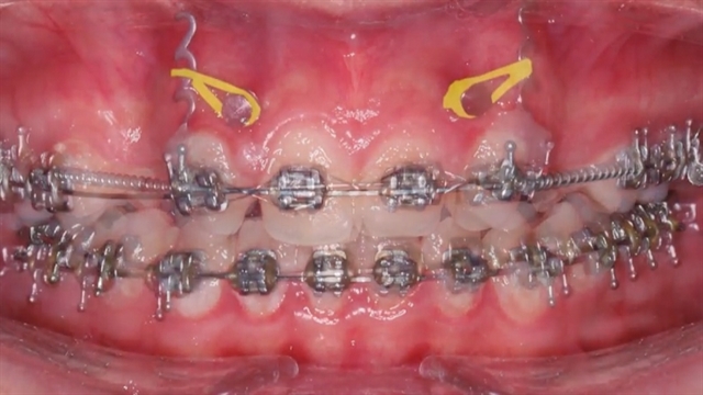
از دست دادن دندان‌های شیری در زمان نامناسب، تراکم و نبود فضای لازم برای رشد و بیرون آمدن دندان‌‌ها از مهم‌ترین دلایلی هستند که به دنبال آن‌ها دندانی غائب می‌شود. دندان‌های غائب علاوه بر برهم زدن زیبایی لبخند فرد بیمار می‌توانند سبب آسیب بیشتر به ریشه دندان، عفونت بیشتر و آسیب پذیر‌تر شدن سایر دندان‌ها شوند.
در این کیس دکتر داودیان به عنوان یک متخصص ارتودنسی مسئولیت باز کردن فضای مورد نیاز و موازی کردن ریشه‌ها را جهت جایگذاری ایمپلنت به کمک مینی اسکرو بر عهده گرفتند و پس از مساعد شدن شرایط دهانی بیماربرای کاشت ایمپلنت، ادامه درمان بیمار به متخصص ایمپلنت سپرده شد.
لازم به ذکر است در این کیس دندان‌های نیش جایگزین دندان‌های لترال غایب شدند.

راه‌های ارتباط با دکتر داودیان:
مطب شریعتی : ۲۶۷۱۰۷۶۰
مطب ستارخان : ۶۶۵۲۰۹۸۰
شماره موبایل مطب: 09371357373
مشاوره رایگان در واتس آپ :
https://wa.link/simadent

نظرات

نماد کانال
نظری برای نمایش وجود ندارد.

توضیحات

ارتودنسی و ایمپلنت | دکتر داودیان

۰ لایک
۰ نظر

از دست دادن دندان‌های شیری در زمان نامناسب، تراکم و نبود فضای لازم برای رشد و بیرون آمدن دندان‌‌ها از مهم‌ترین دلایلی هستند که به دنبال آن‌ها دندانی غائب می‌شود. دندان‌های غائب علاوه بر برهم زدن زیبایی لبخند فرد بیمار می‌توانند سبب آسیب بیشتر به ریشه دندان، عفونت بیشتر و آسیب پذیر‌تر شدن سایر دندان‌ها شوند.
در این کیس دکتر داودیان به عنوان یک متخصص ارتودنسی مسئولیت باز کردن فضای مورد نیاز و موازی کردن ریشه‌ها را جهت جایگذاری ایمپلنت به کمک مینی اسکرو بر عهده گرفتند و پس از مساعد شدن شرایط دهانی بیماربرای کاشت ایمپلنت، ادامه درمان بیمار به متخصص ایمپلنت سپرده شد.
لازم به ذکر است در این کیس دندان‌های نیش جایگزین دندان‌های لترال غایب شدند.

راه‌های ارتباط با دکتر داودیان:
مطب شریعتی : ۲۶۷۱۰۷۶۰
مطب ستارخان : ۶۶۵۲۰۹۸۰
شماره موبایل مطب: 09371357373
مشاوره رایگان در واتس آپ :
https://wa.link/simadent