ارتودنسی بدون کشیدن دندان | دکتر مسعود داوودیان

۰ نظر گزارش تخلف
مرکز تخصصی ارتودنسی دکتر داودیان
مرکز تخصصی ارتودنسی دکتر داودیان

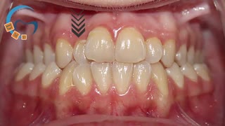
دختر خانم 13 ساله‌ای که اتودنسی ایشان با پذیرش مقدار اندکی افزایش شیب دندان از سوی بیمار، بدون کشیدن دندان و به جهت تسهیل در روند درمان، با کمک سیستم دیمون صورت خواهد پذیرفت.
www.mihanortho.com
www.dr-davoudian.com

نظرات

نماد کانال
نظری برای نمایش وجود ندارد.

توضیحات

ارتودنسی بدون کشیدن دندان | دکتر مسعود داوودیان

۰ لایک
۰ نظر

دختر خانم 13 ساله‌ای که اتودنسی ایشان با پذیرش مقدار اندکی افزایش شیب دندان از سوی بیمار، بدون کشیدن دندان و به جهت تسهیل در روند درمان، با کمک سیستم دیمون صورت خواهد پذیرفت.
www.mihanortho.com
www.dr-davoudian.com

آموزش