ارتودنسی جلو بودن فک پایین بدون کشیدن دندان | دکتر داوودیان

۰ نظر
گزارش تخلف
مرکز تخصصی ارتودنسی دکتر داودیان
مرکز تخصصی ارتودنسی دکتر داودیان

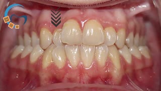
بیماری با کراس بایت خلفی و کراس بایت قدامی و ناهنجاری Class III ( جلو بودن فک پایین ) که ارتودنسی ایشان با استفاده از سیستم دیمون در حال انجام می‌باشد و با گذشت تقریبا کمی بیشتر از یک سال نتایج مطلوبی در درمان ایشان که بدون جراحی فک و بدون کشیدن دندان بوده حاصل شده است.
www.mihanortho.com
www.dr-davoudian.com

نظرات

نماد کانال
نظری برای نمایش وجود ندارد.

توضیحات

ارتودنسی جلو بودن فک پایین بدون کشیدن دندان | دکتر داوودیان

۰ لایک
۰ نظر

بیماری با کراس بایت خلفی و کراس بایت قدامی و ناهنجاری Class III ( جلو بودن فک پایین ) که ارتودنسی ایشان با استفاده از سیستم دیمون در حال انجام می‌باشد و با گذشت تقریبا کمی بیشتر از یک سال نتایج مطلوبی در درمان ایشان که بدون جراحی فک و بدون کشیدن دندان بوده حاصل شده است.
www.mihanortho.com
www.dr-davoudian.com

آموزش