اقدامات پس از پایان ارتودنسی

دکتر برهمن سبزواری
دکتر برهمن سبزواری

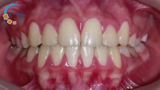
اقدامات پس از پایان درمان ارتودنسی چیست؟
آیا پس از برداشتن دستگاه ارتودنسی ثابت ، درمان ارتودنسی به پایان می می رسد؟
مرحله پس از برداشتن دستگاه ارتودنسی چیست؟
منظور از ارتودنسی نگهدارنده چیست؟

دکتر برهمن سبزواری
#متخصص_ارتودنسی
من کمک میکنم لبخند زیبا و دندانهای مرتب داشته باشید
#ارتودنسی_مشهد
#مشهد -فلسطین ٢٢
05137602788-9
مطالب کامل و مفیدی در مورد ارتودنسی در وب سایت قرارداده شده است.
حتما بخوانید
https://drsabzevari.com/

نظرات

نماد کانال
نظری برای نمایش وجود ندارد.

توضیحات

اقدامات پس از پایان ارتودنسی

۰ لایک
۰ نظر

اقدامات پس از پایان درمان ارتودنسی چیست؟
آیا پس از برداشتن دستگاه ارتودنسی ثابت ، درمان ارتودنسی به پایان می می رسد؟
مرحله پس از برداشتن دستگاه ارتودنسی چیست؟
منظور از ارتودنسی نگهدارنده چیست؟

دکتر برهمن سبزواری
#متخصص_ارتودنسی
من کمک میکنم لبخند زیبا و دندانهای مرتب داشته باشید
#ارتودنسی_مشهد
#مشهد -فلسطین ٢٢
05137602788-9
مطالب کامل و مفیدی در مورد ارتودنسی در وب سایت قرارداده شده است.
حتما بخوانید
https://drsabzevari.com/