ارتودنسی انحراف فک | دکتر مسعود داوودیان

۰ نظر گزارش تخلف
مرکز تخصصی ارتودنسی دکتر داودیان
مرکز تخصصی ارتودنسی دکتر داودیان

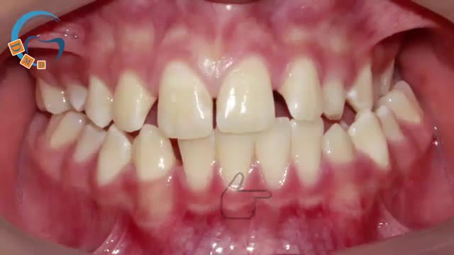
بیمار با انحراف فک پایین به سمت چپ، دندانهای نیش نهفته و نامرتبی دندانی که طی مرحله اول درمان با استفاده از دستگاه فانکشنال انحراف فک اصلاح و با کشیدن دندان 4 از فک بالا سمت راست، فضای لازم برای رویش دندان نیش فراهم و اکنون با گذشت تقریبا 2 سال از درمان، نتیجه درمان بسیار مطلوب می باشد.
www.mihanortho.com
www.dr-davoudian.com

نظرات

نماد کانال
نظری برای نمایش وجود ندارد.

توضیحات

ارتودنسی انحراف فک | دکتر مسعود داوودیان

۰ لایک
۰ نظر

بیمار با انحراف فک پایین به سمت چپ، دندانهای نیش نهفته و نامرتبی دندانی که طی مرحله اول درمان با استفاده از دستگاه فانکشنال انحراف فک اصلاح و با کشیدن دندان 4 از فک بالا سمت راست، فضای لازم برای رویش دندان نیش فراهم و اکنون با گذشت تقریبا 2 سال از درمان، نتیجه درمان بسیار مطلوب می باشد.
www.mihanortho.com
www.dr-davoudian.com

آموزش