ارتودنسی دندان نهفته همیشه موفق آمیز نیست | کلینیک دندانپزشکی سیمادنت

کلینیک دندانپزشکی سیمادنت
کلینیک دندانپزشکی سیمادنت

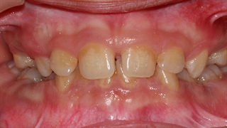
ارتودنسی دندان نهفته به گونه‌ای انجام می‌شود که ابتدا با جراحی لثه، بافت روی دندان نهفته باز می‌شود. سپس متخصصان ارتودنسی اتصالاتی که باید روی دندان نهفته قرار بگیرند، را قرار داده و نصب می‌کنند. سپس به کمک نیروهای ارتودنسی، دندان نهفته به قوس دندانی هدایت می‌شود. در ادامه دکتر داودیان تاکید می‌کنند که همیشه ارتودنسی دندان نهفته موفق آمیز نیست و میزان موفقیت به عمق نهفتگی، زاویه نهفتگی، و این‌که چه دندانی نهفته شده است بستگی دارد.

راه‌های ارتباط با کلینیک سیمادنت:
کلینیک سیمادنت شریعتی : ۲۶۷۱۰۷۶۰
کلینیک سیمادنت ستارخان : ۶۶۵۲۰۹۸۰
شماره موبایل مطب : 09371357373
مشاوره رایگان در واتس آپ :
https://wa.link/simadent

نظرات

نماد کانال
نظری برای نمایش وجود ندارد.

توضیحات

ارتودنسی دندان نهفته همیشه موفق آمیز نیست | کلینیک دندانپزشکی سیمادنت

۰ لایک
۰ نظر

ارتودنسی دندان نهفته به گونه‌ای انجام می‌شود که ابتدا با جراحی لثه، بافت روی دندان نهفته باز می‌شود. سپس متخصصان ارتودنسی اتصالاتی که باید روی دندان نهفته قرار بگیرند، را قرار داده و نصب می‌کنند. سپس به کمک نیروهای ارتودنسی، دندان نهفته به قوس دندانی هدایت می‌شود. در ادامه دکتر داودیان تاکید می‌کنند که همیشه ارتودنسی دندان نهفته موفق آمیز نیست و میزان موفقیت به عمق نهفتگی، زاویه نهفتگی، و این‌که چه دندانی نهفته شده است بستگی دارد.

راه‌های ارتباط با کلینیک سیمادنت:
کلینیک سیمادنت شریعتی : ۲۶۷۱۰۷۶۰
کلینیک سیمادنت ستارخان : ۶۶۵۲۰۹۸۰
شماره موبایل مطب : 09371357373
مشاوره رایگان در واتس آپ :
https://wa.link/simadent