عوارض تنگی فک بالا | دکتر احسان مهریزی

۰ نظر گزارش تخلف
دکتر احسان مهریزی متخصص ارتودنسی
دکتر احسان مهریزی متخصص ارتودنسی

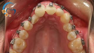
تنگ بودن عرض فک بالا یک مشکل اسکلتی است که باید در سن رشد هر چه زودتر درمان شود.
عدم درمان می تواند به عوارضی مانند مشکلات تنفسی، اختلال مفصل و ناقرینگی صورت منجر شود.
برای اطلاعات بیشتر این ویدیو را ببینید.

نظرات

نماد کانال
نظری برای نمایش وجود ندارد.

توضیحات

عوارض تنگی فک بالا | دکتر احسان مهریزی

۰ لایک
۰ نظر

تنگ بودن عرض فک بالا یک مشکل اسکلتی است که باید در سن رشد هر چه زودتر درمان شود.
عدم درمان می تواند به عوارضی مانند مشکلات تنفسی، اختلال مفصل و ناقرینگی صورت منجر شود.
برای اطلاعات بیشتر این ویدیو را ببینید.

آموزش